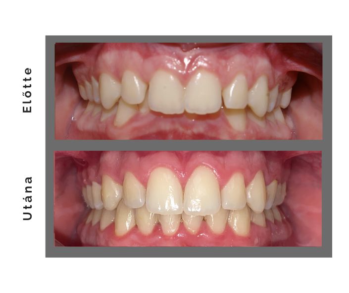
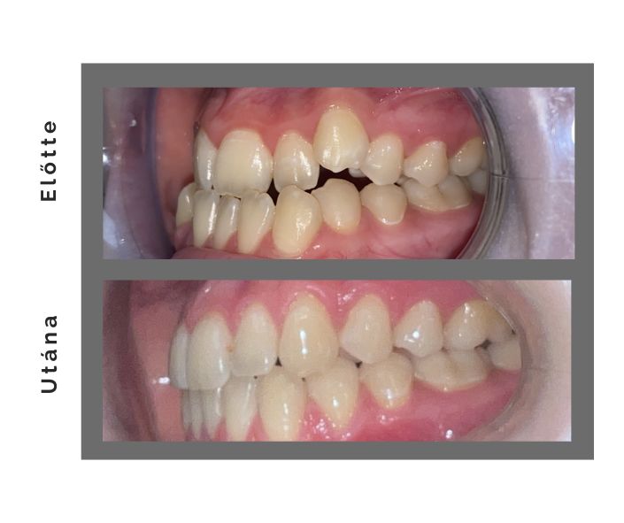
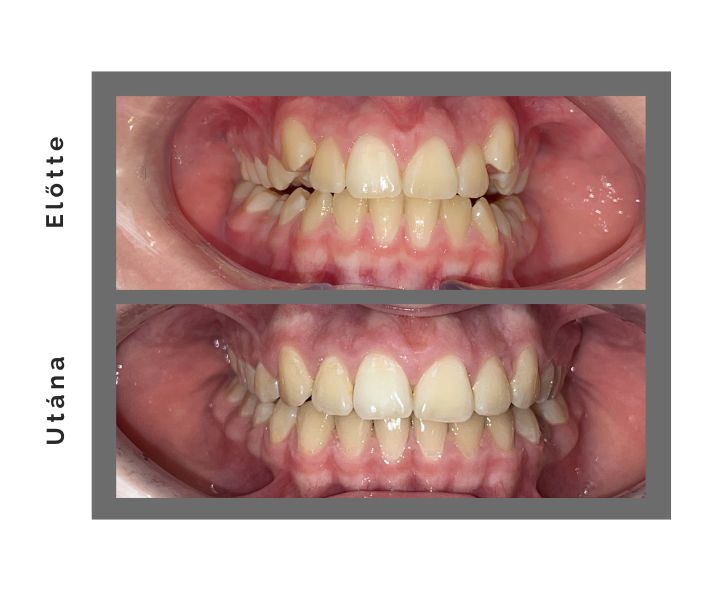
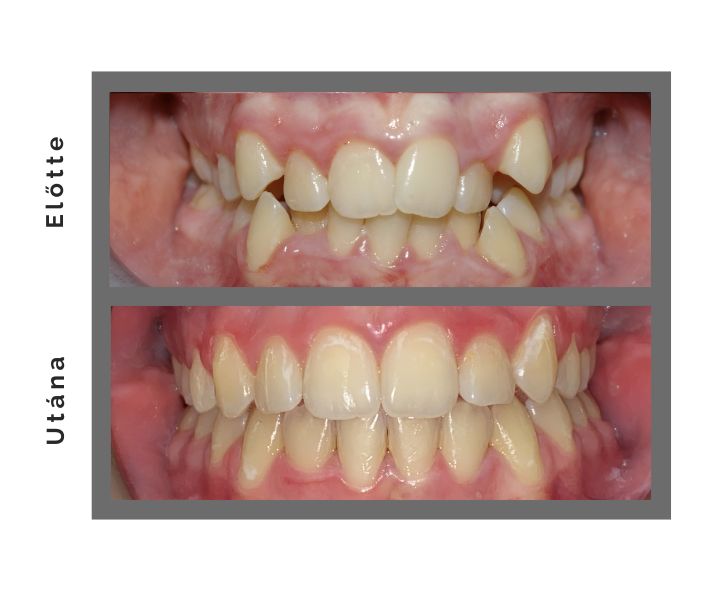
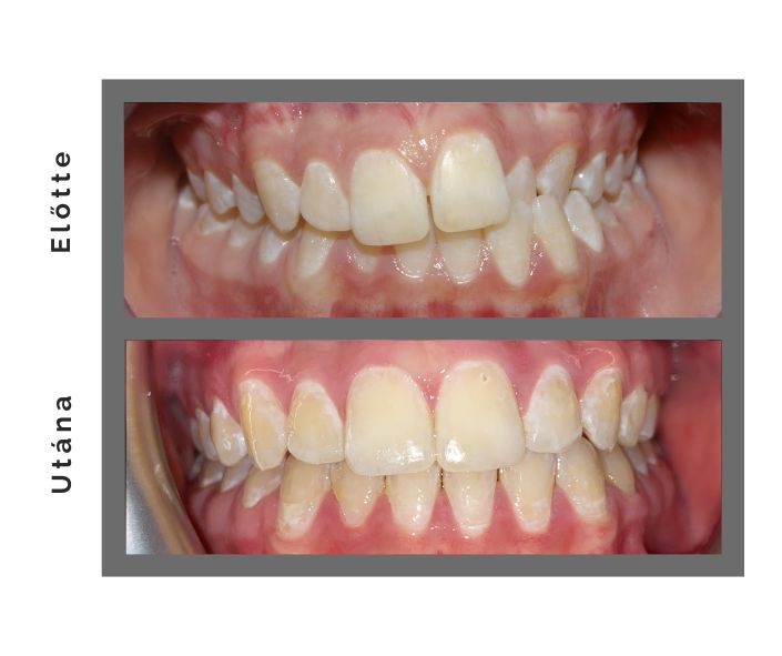
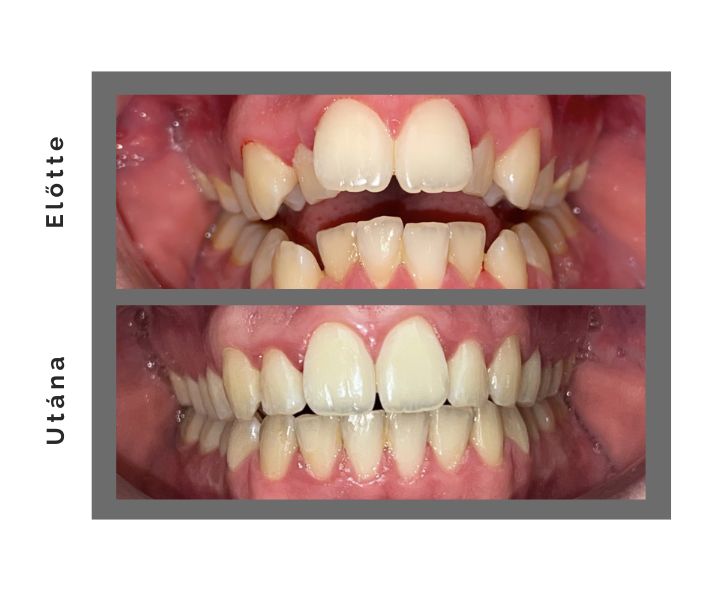
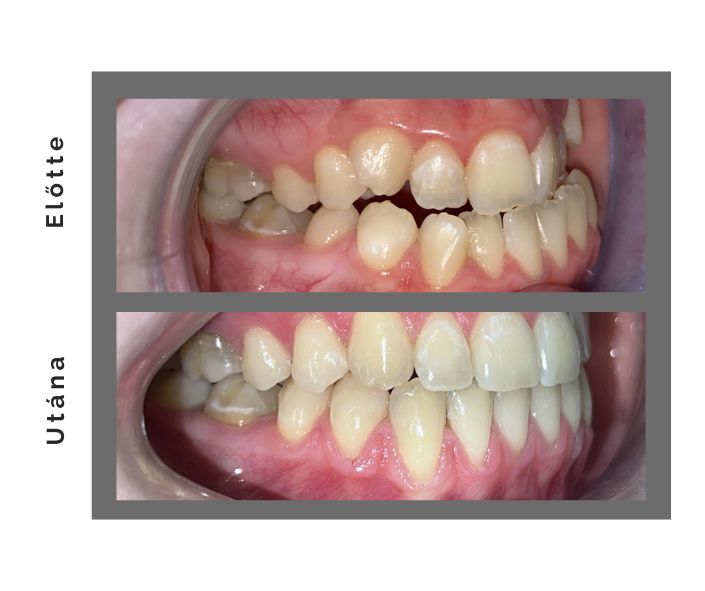
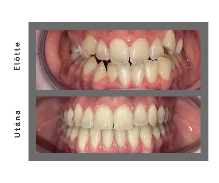
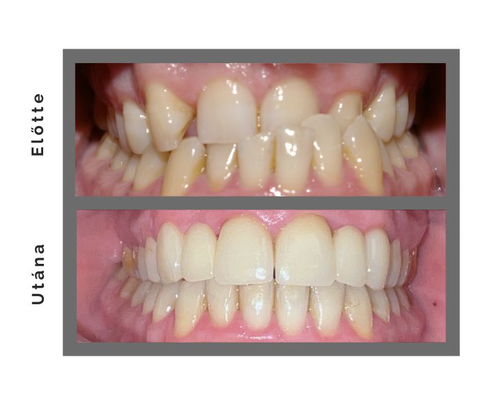
Eseteink képekben- fogszabályozás

Tekintse meg a fogszabályozás terén elért eredményeinket előtte-utána képekben